细胞培养

取您所需,利用徕卡显微系统的细胞和组织培养倒置显微镜提高活细胞成像工作流程中的效率。

这些使用简便的显微镜允许您根据自身需求配置相应的成像解决方案,可搭载灵活多样的聚光镜选件和数字成像记录功能,从未为您的实验室打造恰到好处的解决方案。


徕卡显微系统官方客服收到您的信息后,将根据您的需求委派徕卡销售/服务工程师按您提交的联系方式与您联系、为您解答问题、发送您需要的资料文件到您指定的邮箱。

徕卡细胞培养显微镜系统特性:

操作简便,所需的培训和维护量极小,以便您将精力都集中在研究工作上

冷光源 LED 照明在所有光亮度级别下提供恒定的色温

简易荧光装置 (选配) 可轻松呈现您的荧光标记

高清成像 (选配) - 将高清摄像头直接连接到显示器或 PC;提供高质量的可发表图像

灵活的工作距离,最高可达 80 mm,可容纳载玻片、petri 培养皿、多孔板和较高的培养瓶

细胞工厂解决方案可容纳最高 400 mm 的器皿


细胞分类

细胞外形

实验室培育的动物细胞可根据多项标准进行区分:

显微镜下可以轻松地识别其形态。成纤维样细胞为双极或多极细长形状,而上皮样细胞呈多边形。与上面两种细胞不同的是,淋巴母细胞样细胞并非贴壁生长,而是悬浮生长。

细胞的类型可细分为永生细胞、原代细胞和干细胞。

细胞组织形式可谓丰富多样,从简单的二维单层培养细胞到二维共培养细胞,再到三维球状细胞团和类器官


Fibroblast-like cells, epithelial-like cells and lymphoblast-like cells (from left to right).

名称

形态学

来源

COS

成纤维细胞样

非洲绿猴

HEK 293

上皮样

人类

CHO

上皮样

仓鼠

MDCK

上皮样

HeLa 细胞

成纤维细胞样

人类

Jurkat

淋巴母细胞样

人类

将细胞系用于细胞培养的一些实例。

细胞培养材料

如何培养细胞

动物细胞在各类不同的器皿中培养,涵盖用于基础研究的小型微流体装置、用于筛选目的的 96 孔板乃至用于大规模药物生产的细胞培养瓶和细胞工厂。

鉴于其一次性使用特点,多数容器使用塑料制成。其它器皿则专为显微镜应用优化设计,因此具有玻璃底。

动物细胞培养基包含:

  • 能量来源
  • 氨基酸
  • 维生素
  • 以及盐类

此外,它还包含缓冲系统和 pH 值指示剂,用于检查 pH 值是否平衡。


细胞培养维护

您的日常工作内容是什么?

由于细胞会消耗培养基中的成分,必须定期补充培养基。在这种情况下,细胞培养过程中应进行目视检查,以观察汇合程度和健康度并检测潜在的微生物污染。

永生细胞系的一个特征就是无限增殖。因此,它们必须时不时进行分裂 (传代) 并转移至单独的培养器皿中。

通常,培养的细胞在用于实验前就进行了基因改造。例如,借助 转染操作,研究人员为所需要的蛋白质添加 荧光标记 ,以便通过显微镜将其可视化。


MDCK cells in different confluence stadiums.

显微镜 – 基本要求

我需要哪种工具?

为管理细胞培养实验室的日常工作,显微镜是一件必需品。此类显微镜必须具备倒置配置。倒置显微镜采用“物镜位于样品下方,聚光镜位于样品上方”的设计,这样就能使物镜尽量贴近细胞,并在上方保持较大的工作距离。

由于动物细胞的固有反差极低,细胞培养显微镜必须提供诸如相差等反差观察法。DIC (微分干涉相差) 在这里无法发挥作用,因为该技术无法配合塑料器皿用于细胞培养。DIC 有一个很好的替代方案,那就是 IMC (整合调制相差),该技术不仅能搭配塑料容器使用,而且无需借助专用物镜或棱镜。此外,细胞培养显微镜应易于操控,以避免浪费时间。 

徕卡细胞培养显微镜具备出色的易用性,并可针对个性化需求提供灵活多样的反差观察方法。


显微镜 – 高级要求

我需要哪种工具?

一种很常见的细胞生物学科研手段是使用荧光标记转染细胞,以便使用研究型显微镜进行后续研究。如果您使用荧光蛋白,您的细胞培养显微镜还需要配备荧光选件,以用于控制转染效率。

为实现重要的记录和标准化目的,显微镜应配备数字摄像头,最好能够记录和梳理拍摄的数据。

由于细胞培养实验室都存在空间问题,细胞培养显微镜的尺寸不宜过大,例如,最好能安装在超净台中。此外,最新趋势都要求显微镜设计得足够小巧和稳固,以便在培养箱内部使用。


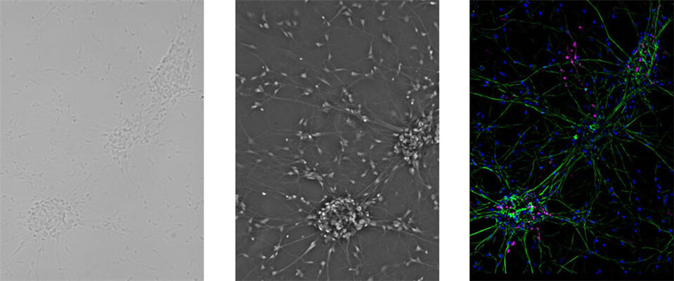
Neuronal cells in brightfield, phase contrast and fluorescence microscopy (from left to right)

明场

相差

微分干涉相差 (DIC)

整合调制相差 (IMC)

荧光

放大倍率

工作距离

摄像头

Leica DM IL LED

+

+

-

+

+

PH:5x 至 63x

IMC:10x、20x、32x、40x

40 mm、80 mm

+ (自由选择)

Leica DMi1

+

+

-

-

-

10x、20x、40x

40 mm、50 mm、80 mm

+ (集成式)


用于大批量生产应用的显微镜

生产生物材料 (例如蛋白质、疫苗或抗体) 需要在大型器皿中培养细胞。

为应对这一要求,相关的细胞培养显微镜必须具备较大的工作距离和视场。此外,它需要具备极高的稳定性,以便牢固地承载大型器皿乃至大量器皿。 

Leica DM IL LED 可使用超长透射光照明臂进行配置,以便您自由调节细胞培养器皿所需要的工作距离,高度最高可达 40 cm。

细胞检测

活细胞应用

细胞培养是一个动态过程。与其它任何生物系统一样,细胞的生长和行为有时难以预测。因此,长期监测比仅仅在单个时间点检查细胞培养过程更具优势。

而这正是显微镜能够一展所长的地方,您可将其放置在培养箱中,以便全天候不间断地监测细胞。例如,借助这一特性,您可随时随地检查细胞培养的汇合程度。 



RELATED PRODUCTS
相关产品
在竞争中保持领先是您事业前进的动力。无论您从事金相学、医疗设备制造还是微电子领域,速度都显得至关重要。您可根据自身需求定制徕卡这款高度模块化的倒置式显微镜。它将徕卡优异的光学品质、丰富的对比度模式以及直观易用的软件集于一身,有助于加速您的工作流程。
徕卡 DM2700 M 正置金相显微镜由高质量的徕卡光学元件以及最先进的通用白光 LED 照明组成。对于金相学、地球科学、法医检查以及材料质控和研究来说,它是进行所有类型常规检查的理想工具。徕卡 DM2700 M 向您展示了显微镜最高境界的简单可靠性,还能够帮助您改进工作流程。
当我们集中于材料实验室或科学研究的任务时, 全新的徕卡 DM1750 M 是一台设计用于迅速,精确分析出结果的显微镜,即使是在粗陋的周围环境中。 使用徕卡 DM1750 M ,您会发现, 显微技术是多么简单而可靠。它的设计包含了一个优秀的光路,即是针对较大的样品,也可以通过明场,倾斜光或者偏光进行观察。 整个反射光光源采用强力LED照明, 还可以通过不同照明角度来观察,特别适用于检查微观划痕,或获取样品高度方面的信息。
Leica DM750 P显微镜是大学和其他教学机构理想的 选择。带有一个标准和先进的伯氏镜模块、可实现操作简便性。Leica DM750 P配备多种配件和保卡著名的光 学元件,不仅因其紧凑、耐用的设计,而且还具有高效率和易操作性因而与众不同。
舒适且放松的进行工作 所有的用户都可以轻松舒适地操作Leica DM2700 P。 高度可调的聚焦器,能很好的适应每位用户的手型。防止手掌、手臂、肩膀的紧张,保持工作姿势舒服,无疲劳感。
如果您想要研究晶体结构,偏光显微镜将是您的较好选择。无论是矿物、塑料和聚合物、药物药品或燃料和接合剂,徕卡正置偏光显微镜都能帮助您观察到感兴趣的内容,完成您的研究或质量控制任务。
徕卡DM750M正置显微镜 Leica DM750 M 金相显微镜 徕卡DM750 M是一台理想地适用于基础材料应用的工业实验室或材料科学的光学设备。它的万能载物台和反射光系统适合几乎所有的样品来获取高品质图像。 机械载物台可以同时适配于透射光和反射光的应用。它可以装配多种样品夹来固定不通直径尺寸的试样。 独特的LED 反射光照明提供了明场,偏振光和倾斜光照明模式。这可以让客户在同一台显微镜上可以观察多种不同的样品。
徕卡 DM8000 M 提供了全新的光学设计,如理想的 宏观检查模式 或者倾斜紫外光 (OUV, 随检UV 选择) 不但提高了分辨能力,同时也增加了观察 8’’/200 毫米直径大样品 时的产量。
RELATED DATA
相关资料
2024年04月19日 10:08
本报告描述了利用全自动连续切片方案通过序列断层成像对高分辨率三维亚细胞结构分析进行优化,在基底上实现高切片密度。 序列断层成像(AT)是生物标本的三维图像重建技术。它包括利用扫描电子显微镜(SEM)对超薄连续切片的有序阵列进行成像,并能对生物结构进行高分辨率、定量分析。序列断层成像比传统共焦显微镜具有更高的空间分辨率。该方法可以揭示细胞和蛋白质结构的其他信息,明确了解不足或尚未解析的特征。
2024年03月18日 15:47
在生命科学研究中,活细胞成像是一种不可或缺的工具,可用于观察细胞的活体状态。 这本电子书回顾了为确保成功进行活细胞成像而需要考虑的各种重要因素。
2024年03月07日 10:47
Coral Life 工作流程提供了一种简化的活细胞CLEM解决方案,用于深入了解细胞成分随时间发生的结构变化。除了工作流程手册中描述的技术处理外,本文还提供了成功进行实验的其他知识。 在本例中,主要关注点是两个有丝分裂细胞的最终分离,即脱落。细胞分裂后,两个分裂细胞只通过细胞间桥相连,而这一间桥需要进一步研究。由于其体积庞大,活细胞成像无法完全了解这一机制。因此,需要通过超微结构分析来了解最终细胞分离的内在机制。
2024年02月26日 17:22
亚细胞结构内大分子研究 为了全面研究复杂的生物学机制,生命科学研究人员需要在亚细胞结构环境下研究可靠的大分子结构信息。为了实现这一点,必须做到以亚纳米级分辨率精确解析目标大分子和它们的细胞环境。 徕卡微系统公司和赛默飞世尔科技公司合作创建了完全集成的低温电子断层成像工作流程,以满足这些研究需求。仪器之间的安全采样和数据传输,使轻松导航到细胞目标区域和亚纳米分辨率的可靠成像得到保障。
2024年02月26日 11:11
PAULA不仅仅能够用于细胞成像,更为您提供贴心的细胞管理。 作为新型数字化细胞成像设备,PAULA能够帮助您轻松完成常规细胞检查。实现实验结果的标准化,改善下游实验流程。
2024年02月23日 17:24
Mateo TL设置简单、使用方便,让每位团队成员都能轻松完成日常细胞培养检查流程。易用汇合度软件模块,减少人为主观因素的影响,提高实验的可重复性。
2024年02月23日 11:57
为了更好地显示细胞结构,THUNDER Imager EM Cryo CLEM成像系统将高分辨率的冷冻物镜与徕卡显微系统创新的THUNDER技术相结合。得益于宽场显微镜的高速度和易用性,您能更好地识别和观察细胞结构的微小细节。
2022年09月08日 15:04
为了全面研究复杂的生物学机制,生命科学研究人员需要在亚细胞结构环境下研究可靠的大分子结构信息。为了实现这一点,必须做到以亚纳米级分辨率精确解析目标大分子和它们的细胞环境。 徕卡微系统公司和赛默飞世尔科技公司合作创建了完全集成的低温电子断层成像工作流程,以满足这些研究需求。 仪器之间的安全采样和数据传输,使轻松导航到细胞目标区域和亚纳米分辨率的可靠成像得到保障。
2022年09月08日 14:40
通过徕卡Nano工作流,我们新型的活细胞CLEM解决方案可以在正确的时刻直接识别目标细胞,并将动态活细胞数据融入其超微结构中。 Nano工作流程是一种集成解决方案,将活细胞光电关 联技术(CLEM)与时间特异性的高压冷冻固定相结合,使动态事件的研究达到纳米级分辨率。将动态数据、活细胞荧光成像的目标样本和精确定时的电镜超微结构分析相结合,可以获得丰富的背景环境数据。
2020年09月21日 19:44
徕卡细胞成像方案包括 一,快速细胞检测方案: 徕卡DMI1专为活细胞实验室量身打造,具有操作直观,灵活自如,高品质成像技术提供精确的结果,降低出错的风险。 二,细胞与组织培养检查及显微操作方案: 适用于细胞生物学和医学领域的常规工作以及实验室显微镜检查。 三,研究型多功能活细胞成像平台: 是徕卡DMI8新一代研究型倒置显微镜,采用开放性平台,支持个性化定制,徕卡DMi8给您的工作带来灵感,满足您探索生命奥秘的需求。 智能细胞培养的优势: 记忆您的个人设置,为您节省时间 取代细胞培养过程中的主观判断 连接网络后可实时观察培养箱内细胞的状态 PAULA 不仅仅助力于细胞培养,更为您提供真正意义上的细胞管理。
RELATED ONLINE WEBINARS
网络课堂
2023年08月18日 16:41

本次课程来源于网络研讨会《植物单细胞组学中的研究进展》,简介如下:

激光显微切割(LMD)是一个从各种各样的组织样本中分离出特定的单细胞或的整个区域的组织的非接触式和无污染的方法。切割部分可用于进一步的基因组、转录组、蛋白质组学和其他下游的技术分析。

单细胞组学在生物医学中已经得到广泛的应用,由于植物细胞壁的特性,植物单细胞组学面临的首个技术难点在于如何分离单个细胞并保留空间位置信息。

徕卡以LMD为主结合Thunder和Aivia的组合方案,是优化植物单细胞组学工作流的高效工具,因为LMD能定义高细胞通量的纯原料并精确保留了细胞的空间信息。


2023年08月18日 15:22

近年来,显微成像技术朝着高速度、高分辨、多维度、多模式等方向不断发展与创新。日新月异的人工智能技术更是给显微成像方法带来了新的突破!


【中国细胞生物学学会2023年会•苏州】徕卡带您“云”逛展台,展示MICA全场景成像分析平台,光电联用等显微成像新技术在生命科学研究中的应用。分析测试百科网进行全程直播 期待您的参会~


2023年08月18日 14:57

单细胞测序技术自2013年登顶Nature年度技术以来,排除异质性的干扰,从单细胞层面,解析复杂的内环境信息,大有成为行业内“金标准”的趋势。多组学技术通常包括基因组学、转录组学、蛋白质组学、代谢组学、微生物组学等多个维度,单一组学的数据对于研究生物学问题具有一定的局限性,而细胞生物学的领域往往需要从多个角度共同阐述的方式才能指导人们更好的理解,在这样的背景之下,单细胞多组学技术就应运而生了。

为了进一步推动单细胞多组学技术的发展和创新,加速单细胞多组学技术的科研应用,本期网络课堂徕卡显微联合转化医学网举办《单细胞多组学技术应用的前沿分享》主题会议”。


2023年08月18日 14:18

满血复活之后,你是不是也恢复了往日的忙碌?也许你一直在忙碌,像那些从来没有咩过的小伙伴一样。


那么,你在忙什么?

数细胞?检测它们的生长状态?

量一量它们的大小?找到阳性个体?

想不想简单、快速、自动得到结果?

数据太大?处理太复杂?

想不想让分析批量化?

AI, 解决多种类型的细胞分析,帮助你快速拿到结果。B本次Aivia网络课堂我们介绍了多种细胞的识别统计方法并例举了日常应用。


2022年12月22日 17:07

细胞是生物体和生命活动的基本单位。细胞分析对于细胞结构和功能的研究、生命活动规律和本质的探索、疾病的诊断与治疗以及药物的筛选与设计等都具有十分重要的意义。近年来随着分析技术的不断提高,人们越来越意识到细胞具有个体差异性,原位细胞分析、微流控技术、细胞成像分析、单细胞分析、流式细胞技术等创新的细胞分析技术发展迅速,使得对细胞进行精确操控、识别、分离和分析成为了可能。

为加强创新细胞分析和成像技术与方法的交流,把最新技术与方法推介给广大生物医药领域用户,仪器信息网将于2022年11月24日举办“细胞分析与成像技术进展”主题网络研讨会。本届网络大会聚焦于细胞分析及成像技术的新应用与进展。

11月24日上午11:00--11:30,徕卡显微系统高级应用专员夏先园为广大观众及行业从业者带来《显微成像——探索丰富多彩的细胞微观世界》的主题报告,内容丰富精彩!


2022年08月29日 16:52

明场细胞:边界对比度高低不一, 细胞内部信号强弱多变。在AI 功能逐渐完善的今天,人们已经开始放弃以阈值分割识别细胞的方式。

类器官中随深度衰减的信号及大量的致密染色为细胞的自动分割带来困扰。

组织中的细胞彼此接触,边界模糊,这些因素降低细胞自动识别准确度。在此基础上的共表达,分类等分析变得难以操作。

从贴壁细胞到类器官再到组织,我们一同来了解Aivia中关于细胞分析的故事。

2022年07月13日 16:36

MICA作为徕卡2022年全新发布的全场景显微成像分析平台,为活细胞,固定细胞组织等成像带来全新成像体验。MICA是集成彩色明场成像,IMC成像,Thunder高分辦成像以及超高分辨共聚焦成像等多种模式于一体的产品。MICA操作简单智能化,多种模态一键切换,采用先进的FluoSync技术进行低光毒性多色同时成像,其稳定的箱式成像系统助力活细胞长时间成像,井配有Al人工智能分析模块可对成像结果进行数据分析。本次报告将向大家详细介绍MICA的特点及其在细胞生物学、疾病诊断或药物筛选中的应用。

2022年07月07日 15:03

细胞生物学作为二十一世纪生命科学重要的前沿学科之一,也是当今发展最快、最活跃、并与其他学科广泛交互动的一门学科。其研究难点在于细胞是非常精密且微小的单位,而观察设备存在空间、时间以及分辨率上的限制。想要充分扩展自己的研究成果并获得高质量的数据,选择合适的显微成像方法至关重要。本期课堂将为您介绍Leica多维度显微镜成像解决方案,帮助您选择与自己研究方向最佳匹配的成像设备与成像方法,使您的科学研究事半功倍、一骑绝尘。

2022年06月23日 16:35

发育生物学是一门研究生物体从精子、卵子发生, 形成受精卵, 然后生长发育直至衰老、死亡的过程及机理的一门学科。发育是一个高度动态的过程, 会涉及多个时空尺度:空间从亚细胞分子过程到组织形态转换, 时间跨度从几分钟到数年不等。

显微成像是细胞、发育生物学研究中重要的工具,可以说从细胞、组织的培养,到精细结构观察,功能研究,显微镜几乎贯穿始终。然后,在我们得到丰富的图像后,如何从中抽丝剥茧,获得关键性数据结果,仍然是图像分析中一大挑战。在本次分享中,徕卡的小伙伴会为大家介绍徕卡家族的新成员AIVIA

wechat
欢迎扫码关注徕卡官方微信,更多显微技巧,行业资讯尽在掌握
close