声明:本文转自北京福禧康宁信息技术有限公司所创办的 “神外前沿”新媒体中的《徕卡神刀博览》栏目。该栏目由徕卡显微系统与“神外前沿”新媒体合作创办的一档精品神经外科手术展播类栏目,由“神外前沿”邀请国内外神经外科专家投稿。根据合作协议,徕卡可转载该栏目文章。未经“神外前沿”新媒体和原作者授权,禁止徕卡以外的第三方转载。文中内容属于作者个人观点,不代表徕卡。
徕卡神刀博览第1期|儿童左额脑室造瘘左侧丘脑肿瘤全切除术一例-北京儿童医院葛明
本文转自北京福禧康宁信息技术有限公司所创办的 “神外前沿”新媒体中的《徕卡神刀博览》栏目。该栏目由徕卡显微系统与“神外前沿”新媒体合作创办的一档精品神经外科手术展播类栏目,由“神外前沿”邀请国内外神经外科专家投稿。根据合作协议,徕卡可转载该栏目文章。未经“神外前沿”新媒体和原作者授权,禁止徕卡以外的第三方转载。文中内容属于作者个人观点,不代表徕卡。
视频收看方式
本视频仅供医学人士交流学习之用;点击上方图片直接播放或长按/扫描下面的二维码,可以观赏此视频;
或访问网址:http://www.365yg.com/item/6485801197373489677/

术者简介

葛明,主任医师、教授、硕士研究生导师,现任国家儿童医学中心(北京)首都医科大学附属北京儿童医院神经中心主任兼神经外科主任。
1983年就读于北京医科大学临床医学系,1989年毕业后在北京天坛医院从事神经外科临床工作。曾任功能神经外科病房副主任、小儿神经外科病房主任。2015年5月调入北京儿童医院,工作以来参加神经外科手术5500余例。
师从我国神经外科奠基人王忠诚院士及“亚洲第一刀”张俊廷教授,对儿童视路胶质瘤、鞍区肿瘤、三脑室后部肿瘤、后颅窝肿瘤和脑干肿瘤,癫痫的外科治疗及VNS治疗,肌张力障碍的DBS治疗,具有较丰富的临床经验和手术操作能力。
现任中国医师协会脑胶质瘤专业委员会小儿学组副主委、中国妇幼保健协会妇幼微创分会小儿神经微创学组副主委、中国医疗保健国际交流促进会神经损伤学分会常务委员、中华医学会神经外科学分会小儿神经外科学组委员等学术职务。
相关报道:
[第57期专访]北京儿童医院葛明:小儿神外年手术量850台以上 髓母/颅咽管瘤/视路胶质瘤切到哪里最合适
[第56期专访]北京儿童医院葛明:脑肿瘤术前不分流避免患儿终身带管 成立儿童神经中心打通内外科
[视频]北京儿童医院葛明手术保留视力治疗小儿视路胶质瘤一例 北京电视台全程记录
治疗情况

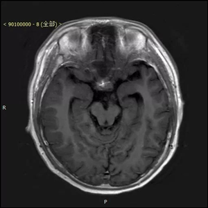
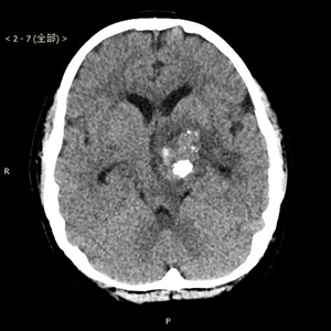
患者,男,入院时间2016年8月9日,入院时年龄13岁5月24天。主诉:右腿晃动3个月,伴右侧肢体力量减弱2个月。术后病理显示为囊性成熟型畸胎瘤,肿瘤组织内神经胶质细胞成分、平滑肌及腺上皮成分细胞异质性明显。
患者是西班牙华侨,在西班牙当地发病并就诊,当地医院认为丘脑肿瘤风险极高,因而无法手术,只能活检,但在未活检的情况下做了化疗。患者化疗效果不好,肿瘤继续长大,偏瘫加重。
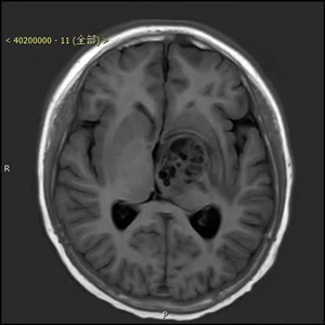
患者来到北京儿童医院就医时,由于肿瘤压迫脑功能区导致了瘫痪。北京儿童医院神经外科葛明教授及团队,对其进行了全切除手术,肿瘤直径4公分左右,手术路径深十公分左右,分块切除,历时四小时完整切除。术后患者瘫痪状态消失,随访恢复良好。
手术经过:
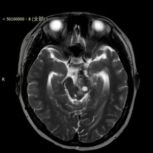
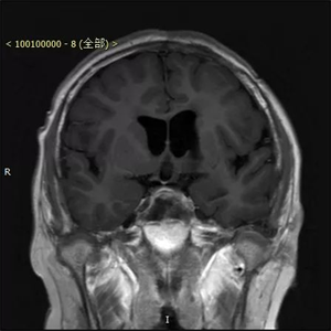
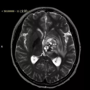
全麻插管,仰卧头右侧位。常规术野消毒辅巾,行左额弧形切口。切开皮肤,帽状腱膜及骨瓣,皮瓣翻向前方,钻二孔,游离骨瓣,骨瓣约5X5厘米,硬膜张力饱满,悬吊硬膜后,“+”形剪开硬膜,于左额切开皮层约2X2厘米,深约3厘米后进入左侧侧脑室,见左侧丘脑表面膨隆,向中线膨入侧脑室内,挤压室间孔,于膨隆的丘脑表面切开约0.5厘米后见肿瘤,肿瘤呈囊实性相间,大约直径4厘米,实性部分呈白色,质地硬韧,有钙化,血运中等,囊性部分内为黄色液体或陈旧血性液体不等,肿瘤下极至中脑,与周围脑组织边界尚清。分离肿瘤,分块将肿瘤全切。充分止血,于侧脑室内留置引流管一枝,缝合硬膜。骨瓣复位,用三枚可吸入颅骨锁固定。缝合帽状腱膜及皮肤。术毕,手术顺利。

患者术后情况
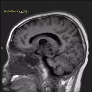
患者术前资料(下图)
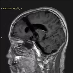
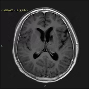
患者术后资料(下图)

《徕卡神刀博览》栏目是世界领先的神经外科手术显微镜品牌“徕卡”与“神外前沿”新媒体共同推出的一档精品神经外科手术展播类栏目,欢迎国内外神经外科专家投稿,来稿邮箱53880941@qq.com.
徕卡显微系统是全球显微科技与分析科学仪器之领导厂商,总部位于德国维兹拉(Wetzlar, Germany)。自公司十九世纪成立以来,徕卡以其对光学成像的极致追求和不断进取的创新精神始终得到业界广泛认可,徕卡在医疗手术显微光学领域处于全球领先地位。
徕卡显微系统在全球有七大产品研发与生产基地,在二十多个国家拥有服务支持中心。徕卡在全球一百多个国家设有区域分公司或销售分支机构,并建有遍及全球的完善经销商服务网络体系。