学习和分享

显微学知识门户

学习,分享,贡献。徕卡显微的光学显微镜,超高配置,满足您的不同需求-从日常实验室操作到不同维度活细胞研究!
排序方式
  • 时间升序
  • 时间降序
如何为白内障手术选择显微镜
如何为白内障手术选择显微镜
2022年05月31日 18:03
类型技术前沿

如何为白内障手术选择显微镜

眼前节术中的考虑因素: 显微镜将现代白内障手术的精准度提高到了全新水平,并在这种常见的手术中发挥着重要的作用。 现在,显微镜已经从一种帮助眼科医师看得更清楚的工具演变为手术室工作流程的重要组成部分,而且未来仍将继续迭代更新。 由于白内障手术显微镜通常会在手术室中连续使用数年之久,因此在购置这种设备时,需要考虑多个因素。
病毒分离好助手—DMi 1
病毒分离好助手—DMi 1
2022年05月31日 09:31
类型技术前沿

病毒分离好助手—DMi 1

新冠未平,猴痘又起,2019年底的新冠已经肆虐2年多了,还未结束,新的一场潜在流行又开始若隐若现,这就是猴痘病毒。 猴痘是痘病毒科正痘病毒属的一种。猴痘是一种罕见的病毒性人畜共患病(从动物传播给人的病毒),病人症状与过去在天花病人身上所观察到的相似,但临床严重程度较轻。随着在1980年消灭了天花和随后停止接种天花疫苗,猴痘成为最严重的正痘病毒。1在非洲中部和西部地区热带雨林仍有猴痘散发病例。在沉寂了多年之后,在2022年初猴痘病毒再次进入到大家的视野。具路透财经早报报道,世界卫生组织(WHO)周五召开紧急会议,讨论最近爆发的猴痘疫情,此前欧洲公布有100多例确诊或疑似病例。德国称这是欧洲有史以来最大的猴痘疫情,至少有九个欧洲国家-比利时、法国、德国、意大利、荷兰、葡萄牙、西班牙、瑞典和英国-以及美国、加拿大和澳大利亚报告了病例。世卫组织称,科学家们正在对不同病例的病毒进行研究,看看它们是否有关联,预计将很快提供最新消息。2
显微镜在病毒学中的应用
显微镜在病毒学中的应用
2022年05月20日 17:50
类型技术前沿

显微镜在病毒学中的应用

引起新型冠状病毒肺炎(Covid-19)的冠状病毒SARS-CoV-2肆虐全球并影响了我们生活的方方面面。对于免疫和治疗方法的搜索研究(即如何抗击该病毒)成为了2020年全人类的第一要务。显微镜在这类研究中起着重要作用。为了了解受体结合、基因组释放、复制、装配和病毒出芽的基本原理以及我们的免疫系统效应,可以使用不同的方法和显微镜。本文概述了为什么显微镜是病毒学和感染生物学的重要工具,并举例说明了不同的显微技术及其在这些研究领域中的应用。
显微镜分辨率:概念、因素和计算
显微镜分辨率:概念、因素和计算
2022年05月20日 17:26
类型技术前沿

显微镜分辨率:概念、因素和计算

在显微镜学中,‘分辨率’一词用于阐述显微镜对细节进行区分的能力。换言之,这是样本内两个能被观察人员或者显微镜摄像头区分的实体点之间的最小距离。 显微镜的分辨率本质上与光学元件的数值孔径(NA)以及用于观察样本标本的光波长有关。此外,我们必须考虑Ernst Abbe于1873年首次提出的衍射极限。 本文章包含了这些概念的历史介绍并使用相对简单的术语对其进行了解释。
金相学 – 介绍
金相学 – 介绍
2022年05月20日 17:12
类型技术前沿

金相学 – 介绍

本文概述了金相学和金属合金的特征分析。合金微观结构的研究使用到不同的显微观察技术,即晶粒、相、夹杂物等的微观结构。金相学是从了解合金微观组织对宏观性能影响发展而来的一门学科。所获得的知识可用于合金材料的设计、开发和制造。
学习如何从共聚焦图像中去除自发荧光
学习如何从共聚焦图像中去除自发荧光
2022年05月20日 16:46
类型技术前沿

学习如何从共聚焦图像中去除自发荧光

了解自发荧光的常见原因以及如何将其从共聚焦显微镜图像中去除。根据应用的不同,自发荧光的来源可能有很多种,但幸运的是,同样也有很多的解决方案--从更换介质到使用荧光寿命成像和近红外染料。
柯勒照明:简史介绍和设置的5个简单步骤
柯勒照明:简史介绍和设置的5个简单步骤
2022年05月20日 16:28
类型技术前沿

柯勒照明:简史介绍和设置的5个简单步骤

在任何特定光学显微镜调试当中,柯勒照明都是实现最佳成像的最重要且最基本的技术之一。尽管柯勒照明应该视为显微镜设置的常规组成部分,但是许多显微镜学家认为正确的设置过于复杂耗时,因此仍然没有被广泛应用。充分了解显微镜的两个主要部件(光阑和载物台下聚光透镜)在实际操作中的调整后,正确的设置就只需要几分钟的时间。正确对齐的显微镜可以大大改善图像的均匀对比度和照明,从而获得更高的分辨率和观察到更多的细节。在这篇文章中除了如何用五个简单的步骤来调整组件外,我们还将回顾这项技术的历史。
诊断时间在临床病理学检查中至关重要
诊断时间在临床病理学检查中至关重要
2022年05月19日 09:25
类型技术前沿

诊断时间在临床病理学检查中至关重要

病理学家使用显微镜检查样本以发现组织和体液中存在的异常。他们的检查发现或推论对治疗决策有非常大的影响。Penelope Zorzi博士拥有免疫学、病理学和基因组学专业背景,是徕卡显微系统健康与临床显微镜术产品工作流经理。她了解病理学家的工作职责并介绍了医生、科学家和病理学实验室化验员的工作。
制备烟草叶样品用于扫描电镜观察
制备烟草叶样品用于扫描电镜观察
2022年05月18日 17:46
类型技术前沿

制备烟草叶样品用于扫描电镜观察

含水植物样品,例如烟草叶,如果要放入扫描电镜的真空样品仓内稳定观察,首先做好必要的样品制备处理。样品制备方法可分为两类,脱水干燥处理方法和冷冻制备方法,分别对应常温扫描电镜观察和冷冻扫描电镜观察。临界点干燥和冷冻升华干燥是常见的两种生物样品脱水干燥处理方法,而冷冻制备方法通常是将含水样品快速冷冻后再传送到扫描电镜的冷冻台上进行低温观察。这三种处理方法都可以借助相应的徕卡电镜制样仪器完成,本文主要介绍临界点干燥和冷冻制备方法的实验流程和实验结果对比。
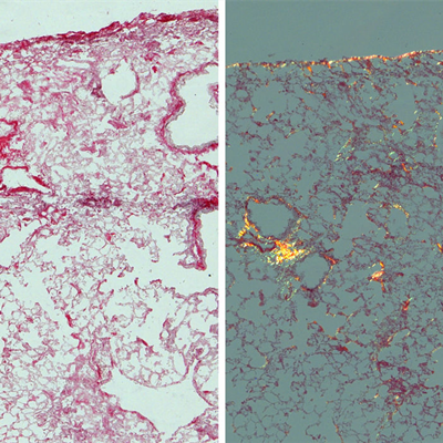
肺纤维化研究
肺纤维化研究
2022年05月18日 17:20
类型技术前沿

肺纤维化研究

本文中所示结果表明,相比明场,使用偏振光可以更清晰地分辨小鼠肺组织中的胶原蛋白纤维化和非纤维化区域。为更好地理解促使瘢痕组织形成的肺纤维化,正常情况下会研究组织中的纤维化区域。分别使用明场和偏振光对小鼠肺组织中的胶原蛋白纤维化病变区域进行成像。成像胶原蛋白时,使用一般的染色法和明场显微镜很难区分纤维化和非纤维化区域。本文中使用偏振光对肺组织进行成像,两个区域呈现出非常明显的颜色差异。
共38页
前往
wechat
欢迎扫码关注徕卡官方微信,更多显微技巧,行业资讯尽在掌握
close